Professionele diagnose voor een gezond gebit
Uitgebreid onderzoek (Diagnose)
€50Röntgenfoto maken
€303D CBCT-scan
€150

Uw eerste consult bij Dental Benelux – duidelijk, persoonlijk en professioneel
Bij Dental Benelux geloven we dat een goede behandeling begint met een grondige diagnose. Tijdens uw eerste afspraak:
Onderzoekt een van onze ervaren tandartsen uw gebit
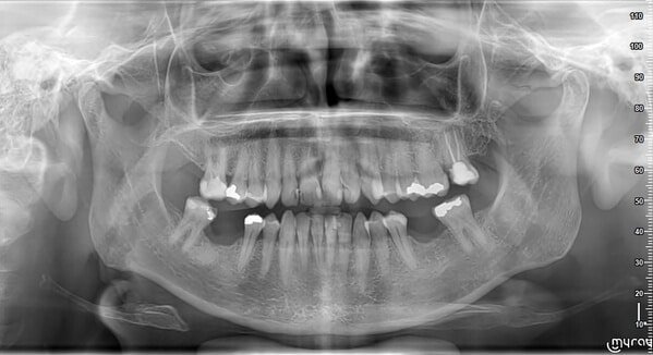
Maken we een professionele röntgenfoto voor een compleet beeld van uw mondgezondheid
Bespreken we 2 tot 3 behandelopties die passen bij uw situatie en budget
Ons doel? Dat u meteen een duidelijk plan en heldere keuzes heeft.
Iedere patiënt is uniek – daarom maken wij altijd een persoonlijk behandelplan. Wilt u alles in één sessie of liever verspreid over meerdere afspraken? Wij stemmen alles af op uw wensen.
✔ Transparant in kosten en mogelijkheden
✔ Persoonlijke begeleiding bij elke stap
✔ Altijd gericht op een gezond, mooi en sterk gebit
Bij Dental Benelux staat ú centraal. Uw glimlach is onze prioriteit.
Hoe de diagnose is gesteld?
U maakt een afspraak
De wachttijd is meestal slechts enkele dagen – u hoeft dus nooit lang te wachten.
Röntgenfoto
We maken een moderne 2D- of 3D-röntgenfoto voor een compleet beeld. Heeft u al een recente foto? Dan kunt u die ook (liefst digitaal) meebrengen.
Controle door de tandarts
De tandarts onderzoekt zorgvuldig de visuele toestand van uw tanden en controleert op beweeglijkheid en pijnpunten.
Planvoorbereiding
Terwijl ons team uw behandelplan opstelt, kunt u ontspannen met een kopje koffie of thee. Dit duurt meestal niet langer dan 15 minuten.
U krijgt 2 of 3 opties
U ontvangt een duidelijk overzicht met 2 tot 3 behandelopties, inclusief alle kosten en voordelen. Zo weet u precies waar u aan toe bent.
Uitleg van het plan
Onze specialisten nemen de tijd om het plan helder toe te lichten en u de beste keuzes voor te stellen. Daarna kunt u direct een afspraak maken of er rustig thuis over nadenken.

